疱疮不是普通痘痘!出现这些症状要警惕,皮肤科医生紧急提醒
更新时间:2025-05-07 14:57:13 点击量:
皮肤上突然冒出红肿的脓疱,又痛又痒,是“上火”还是感染?家里孩子长疱疮可能比你想的更危险!今天,皮肤君就给大家好好讲一讲疱疮这个疾病。

疱疮有哪些类型?
首先,疱疮种类繁多,不同类型症状各异,治疗时需要精准识别:
(1) 单纯疱疹(HSV)
类型:HSV-1(口腔疱疹)、HSV-2(生殖器疱疹)
症状:唇周或生殖器部位出现成簇水疱,伴疼痛、灼热感,可能伴有发热、淋巴结肿大。
特点:病毒潜伏于神经节,免疫力下降时易复发。
(2) 带状疱疹(水痘-带状疱疹病毒)
症状:腰肋部或单侧肢体成簇丘疱疹,伴剧烈神经痛,病程可持续2-4周。
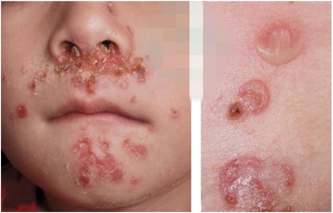
高危人群:50岁以上、免疫力低下者。 脓疱疮(细菌感染) 类型:大疱性脓疱疮(儿童常见)、非大疱性脓疱疮(成人多见)
症状:皮肤出现脓疱、糜烂、结痂,可能伴瘙痒,重症可引发淋巴结炎。
(3) 天疱疮(自身免疫性疾病)
症状:皮肤、黏膜出现松弛性大疱,易破溃形成糜烂面,尼氏征阳性(轻推疱壁可扩展)。
特点:慢性病程,需长期免疫抑制治疗。

为什么会得疱疮?
诱发疱疮通常是因为以下几个因素:
病毒感染:HSV、水痘-带状疱疹病毒等通过直接接触或飞沫传播。
细菌感染:金黄色葡萄球菌、链球菌等通过皮肤破损入侵。
自身免疫异常:天疱疮患者血清中存在针对表皮细胞的自身抗体。
诱发因素:免疫力下降、过度劳累、皮肤损伤、紫外线暴露等。

疱疮怎么治疗?
疱疮虽常见,但不可轻视。科学治疗、合理护理、积极预防,才能将它的影响降到最低。目前临床医学大多采取以下方式:
1. 药物治疗
按医嘱服用抗病毒药物、或抗生素。部分严重的疱疮可能还需要免疫调节剂来控制病情。
2. 局部护理
患上疱疮后一定要保持清洁,用温和肥皂清洗患处,避免搔抓,防止继发感染。如果疱疮不小心破溃,可用1:5000高锰酸钾液湿敷,促进结痂。也可以冷敷减轻炎症,缓解瘙痒。

预防大于治疗,预防疱疮主要记住这5点:
勤洗手:尤其在接触公共物品后;
避免抓挠:防止细菌扩散引发连锁感染;
消毒用品:患者衣物需煮沸消毒,与家人分开使用毛巾;
增强免疫:补充维生素C、锌元素,适度运动;

温馨提醒:疱疮不是小毛病!若出现持续不退的皮肤水疱、伴随发热乏力,请立即到专业的医院就诊。

